Blogs

More on Teeth Whitening
More tips on what to expect from Teeth Whitening.
31 May, 2026

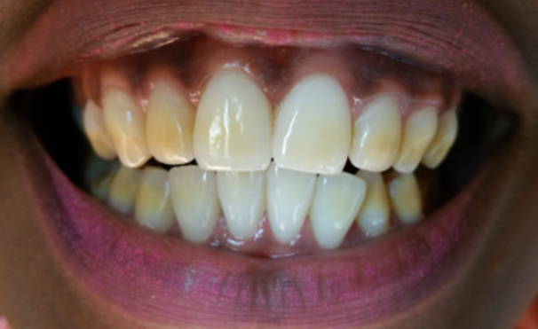
Teeth whitening part 2
What will Teeth whitening do for me?
30 Sep, 2025

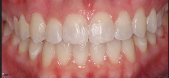
Teeth whitening Series
What is Teeth whitening? Let us give you an overview of what it is.
31 May, 2026

How to Do Dental Scaling and Polishing
An expose to Dental Scaling and Polishing
13 Aug, 2025